Recien nacido

Ya tienes contigo el mejor regalo de tu vida

Información de utilidad para ti

En Viamed Salud, estamos aquí para acompañarte con información clara, seguimiento médico especializado y consejos prácticos que te ayudarán a vivir esta experiencia con confianza y bienestar.

Descubre todo lo que necesitas saber para cuidarte a ti y a tu bebé en cada etapa:

Biometría fetal

La biometría fetal es una prueba médica esencial durante el embarazo, que permite evaluar el crecimiento y desarrollo del bebé mediante mediciones específicas obtenidas a

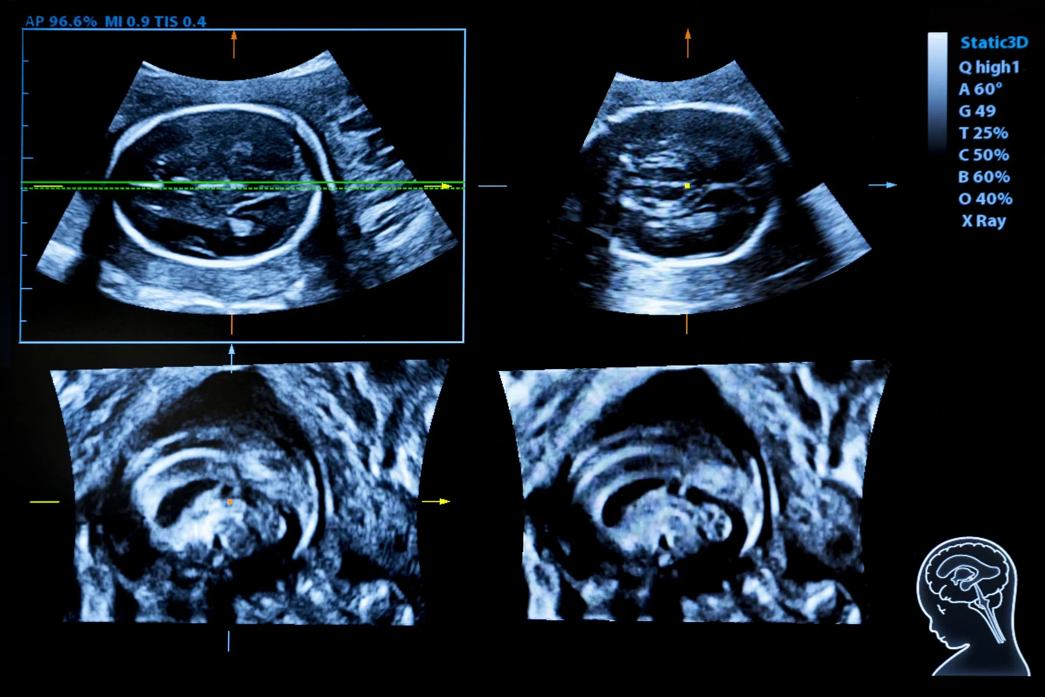
Neurosonografía fetal 

La neurosonografía fetal es una técnica de ultrasonido especializada que permite evaluar de manera detallada el desarrollo del sistema nervioso central del bebé durante el embarazo. Esta prueba

Perlas de leche

La lactancia materna es una experiencia única, pero también puede venir acompañada de ciertos desafíos. Uno de ellos es la aparición de las llamadas perlas de

Lavado nasal en recien nacidos

El cuidado de la nariz de un recién nacido es fundamental para su bienestar, especialmente porque los bebés respiran principalmente por la nariz durante los

DNI para recién nacido. ¿Qué hay que hacer?

Aunque no es obligatorio que los recién nacidos en España cuenten con un Documento Nacional de Identidad (DNI), este trámite puede ser muy útil, especialmente

Permisos de lactancia

El permiso de lactancia es un derecho reconocido por el Estatuto de los Trabajadores que facilita la conciliación laboral y familiar durante los primeros meses

Dr. Lorenzo Chacón

Fundador equipo Diagnóstico y ginecología prenatal

Lorem ipsum dolor sit amet, consectetur adipiscing elit. Ut elit tellus, luctus nec ullamcorper mattis, pulvinar dapibus leo.

¿Te acompañamos?

Llámanos

Escríbenos